Центр Стоматологической Имплантологии

Будни: 9:00—20:30, Сб: 9:00—20:00, Вс: 10:00—20:00


Удаленная консультация

Для удаленной консультации и составления предварительного плана лечения (бюджет, сроки, кол-во посещений клиники), можно прислать свое рентгеновское исследование с описанием проблемы и пожеланиями на электронную почту

ces@impl.ru

Стоимость исправления прикуса с помощью элайнеров Clearcorrect

Развернутая первичная консультация стоматолога-ортодонта 

Продолжительность консультации от 20 до 30 минут.
2 300 руб.

Ортодонтическая коррекция методом Clearcorrect (Straumann Group) One (до 24 этапов) 

265 000 руб.

Ортодонтическая коррекция, лечение на элайнерах Straumann Group, Clearcorrect Two  

330 000 руб.

Получить консультацию

Задайте вопросы по телефону +7 (495) 927-51-86
или оставьте заявку, мы перезвоним в течение рабочего дня.

Подтверждаю свое согласие на обработку персональных данных

Закрыть

Заявка отправлена

, спасибо за проявленный интерес. В течение 15 минут наш менеджер перезвонит вам.

Закрыть

Принцип действия капп для выравнивания зубов

Элайнеры ClearCorrect изготовлены из трехслойного материала ClearQuartz, который отличается высокой прочностью и эластичностью. Эти свойства позволяют материалу точно адаптироваться к зубному ряду и создавать необходимое давление для пошагового перемещения зубов. Прозрачные каппы оказывают мягкое давление на каждый зуб, заставляя их перемещаться в заданное положение.

 

Каждый набор кап разрабатывается с учетом индивидуальных особенностей пациента, что делает лечение максимально эффективным и комфортным.

 

Лечение патологий прикуса элайнерами подразумевает создание предварительной виртуальной модели челюстей. При помощи софта просчитывают каждый этап лечения, а у пациента есть возможность увидеть результат еще до начала коррекции.

Как изготавливаются капы ClearCorrect

На основе 3D-плана лечения изготавливают каппы, которые соответствуют определенному этапу. Процесс изготовления элайнеров ClearCorrect начинается с тщательной диагностики и планирования лечения. С помощью 3D-сканирования зубов и челюстей пациента создается цифровая модель, на основе которой разрабатывается план лечения. Затем, используя современные технологии, производятся элайнеры, которые идеально соответствуют форме зубов пациента. Этот индивидуальный подход обеспечивает высокую точность и эффективность лечения.

3D-сканирование зубов и челюстей для изготовления элайнеров

Преимущества элайнеров ClearCorrect по сравнению с брекетами

В сравнении с брекетами, даже эстетическими (керамические, сапфировые), у элайнеров ClearCorrect есть ряд весомых преимуществ:

  • Эстетика. Прозрачные каппы не видны на зубах, даже при близком контакте. А вот даже эстетические брекеты остаются заметными. Ношение капп для выравнивания зубов дает возможность пациентам чувствовать себя уверенно, не стесняться собственной улыбки.
  • Комфорт. Отсутствие металлических элементов снижает риск травмирования слизистой. Ортодонтические каппы не травмируют и не натирают слизистую, практически не ощущаются в полости рта.
  • Удобно носить. Элайнеры — это съемные конструкции. Их можно снимать во время еды, для чистки зубов. Они не создают трудностей во время гигиенических процедур, дополнительных площадок для скопления налета, следовательно, не повышают риски развития кариеса, болезней десен. Сами каппы легко чистить.
  • Гибкость. Лечение с помощью ClearCorrect может быть адаптировано под индивидуальные потребности пациента.

Левина Полина Евгеньевна

стоматолог-ортодонт

«Одно из главных преимуществ элайнеров в том, что не нужно часто посещать стоматолога-ортодонта. Более того, лечение можно проходить удаленно. Вы можете находиться в другом городе и даже стране, но быть постоянно на связи с вашим врачом, приезжая на осмотры 1–2 раза в год на протяжении всего периода лечения. Достаточно регулярно носить каппы, а также менять их по установленной схеме. Ведь весь комплект капп выдается на руки пациенту сразу. Элайнеры открывают новые возможности для медицинского туризма. У каждого есть возможность выбирать врача не только в своем городе.»

Особенности дизайна и материалов элайнеров ClearCorrect

  1. Элайнеры ClearCorrect изготавливаются из высококачественного и безопасного материала, который не вызывает аллергических реакций.
  2. Инновационный трехслойный материал сочетает два слоя упругих полимеров, а также эластомерный внутренний слой. Такое сочетание обеспечивает мягкое и стабильное распределение силы.
  3. Благодаря уникальным свойствам эластомерный средний слой увеличивает давление на зубы, при этом обеспечивает повышенный комфорт при ношении для пациента. По сравнению с однослойными полимерами трехслойный материал более долговечен и демонстрирует в 4 раза большую устойчивость к разрывам. Двойной слой полимеров обеспечивает высокую прочность, менее склонен к формированию трещин, сохраняет форму на протяжении всего ношения.
  4. Благодаря сочетанию двух поверхностных слоев и эластомерного, каппы не окрашиваются, не впитывают запахи. Материал сохраняет в 10 раз больше начальной силы в сравнении с другими производителями.
  5. Дизайн кап обеспечивает плотное прилегание к зубам для максимальной эффективности лечения и комфорта при ношении. Каждый элайнер разрабатывается с учетом особенностей прикуса и анатомии пациента, что гарантирует идеальную посадку и комфортное ношение.

Точность и эффективность коррекции прикуса с ClearCorrect

Клинически доказано, что высокая точность коррекции прикуса обеспечивается за счет использования передовых технологий и индивидуального подхода к решению даже самых сложных клинических ситуаций.

Каждый этап лечения тщательно планируется и контролируется, что гарантирует достижение желаемых результатов в кратчайшие сроки. Исследования показывают, что эффективность ClearCorrect сопоставима с традиционными методами лечения, но с меньшими неудобствами для пациента.

Сравнение ClearCorrect с другими элайнерами на рынке

Параметр ClearCorrect Invisalign Другие элайнеры
Прозрачность высокая высокая варьируется
Индивидуальный подход в составлении плана лечения да да ограничен
Материал трехслойный ClearQuartz многослойный SmartTrack однослойный
Цена средняя самая высокая низкая
Устойчивость к разрывам высокая высокая низкая
Линия обрезки нефестончатая обрезка, гарантирующая более точное перемещение зубов и надежную фиксацию капп стандартная, без учета индивидуальных особенностей полости рта фестончатая обрезка, которая уменьшает силу, прилагаемую к зубу в области десны, что повышает риски рецессии
Доступность в РФ доступны не доступны доступны

Показания для лечения на элайнерах ClearCorrect

Эти ортодонтические конструкции подходят для коррекции различных проблем с прикусом, включая:

  • неправильное положение зубов
  • перекрестный, открытый, глубокий и другие виды неправильного прикуса
  • наличие трем, диастем между зубами, скученность.

Есть ли противопоказания

Несмотря на преимущества, существуют и противопоказания к использованию элайнеров ClearCorrect. К ним относятся:

  • тяжелые формы аномалий прикуса, требующие хирургического вмешательства;
  • необходимость в значительном линейном перемещении зубов.

Решение о возможности прохождения лечения на элайнерах принимает врач, после обследования.

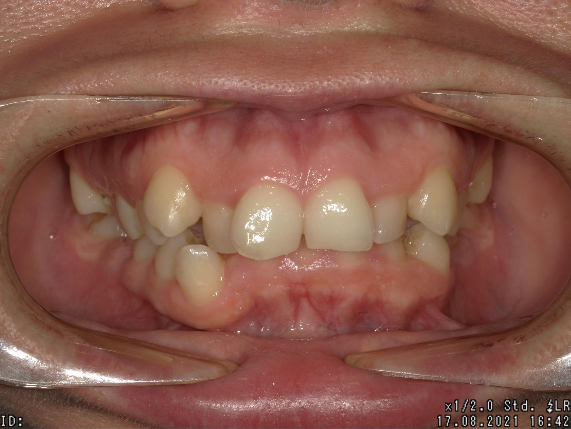
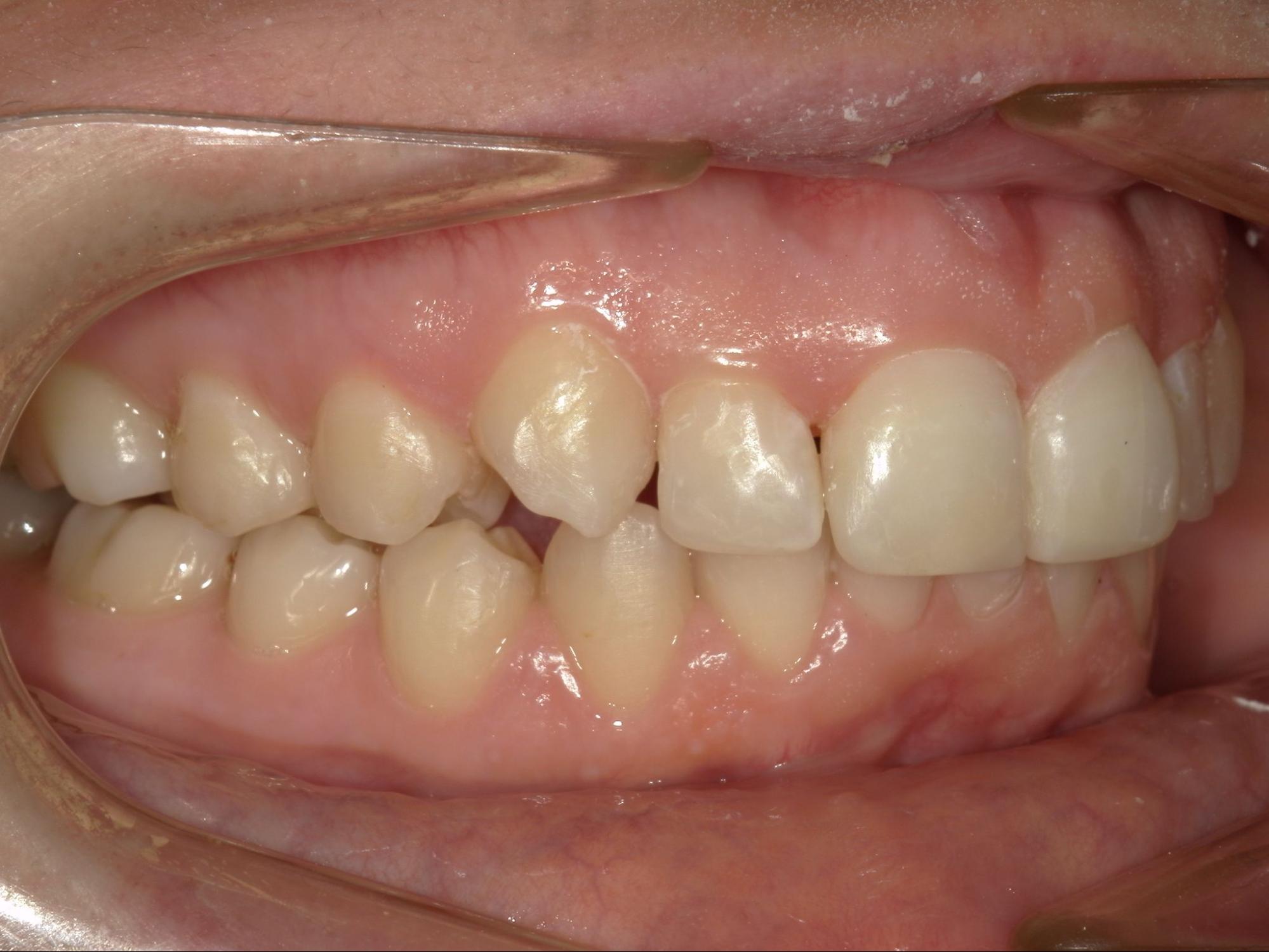
Клинический случай

В практике стоматолога-ортодонта Герасимовой Яны Олеговны есть интересный случай коррекции прикуса на элайнерах. Елена пришла на прием с жалобами на эстетику улыбки, затрудненное открывание рта, пережевывание пищи. Из-за неправильного положения зубов верхние центральные резцы травмировали десны в области нижних зубов, что приводило к частым воспалительным процессам, а также опущению уровня десны. Со временем это привело к формированию повышенной чувствительности зубов — резкой боли при действии холодного, кислого.

 

При обследовании было выявлено множество проблем. Во-первых, нижняя челюсть имела неправильную форму, была недоразвита. Во-вторых, зубы верхней челюсти занимали неправильное положение, был диагностирован глубокий прикус.

 

Было принято решение о лечении на элайнерах. После снятия цифровых слепков был составлен план, а Елена увидела, как будет выглядеть ее улыбка еще до начала лечения. Всего было изготовлено 36 капп, которые нужно было носить в течение 22 месяцев. В результате удалось:

  • расширить нижнюю и верхнюю челюсть;
  • нормализовать положение зубов;
  • добиться правильного смыкания зубов;
  • изменить в лучшую сторону черты лица, избавиться от второго подбородка;
  • уменьшить выраженность носогубных складок;
  • улучшить функцию жевания.

Как проходит лечение элайнерами ClearCorrect

  1. Консультация и диагностика. Врач-ортодонт проводит осмотр, оценивает состояние каждого зуба, прикуса. Обязательно проводится фотопротокол, КТ, а также дополнительные методы обследования, например, аксиография. На основе полученных данных составляется план подготовительных мероприятий, исключают противопоказания для установки элайнеров, определяет необходимость включения накусочных площадок, которые оказывают дополнительное давление для перемещения зубов.
  2. Составление плана лечения. После подготовки полости рта проводится цифровое сканирование зубов для создания 3D-модели. Полученные данные вносятся в компьютерную программу, которая проводит вычисления и составляет поэтапный план лечения и перемещения зубов. В итоге у пациента есть возможность увидеть результат лечения еще до его начала.
  3. Изготовление капп. На основе полученной цифровой модели и поэтапного плана лечения изготавливают элайнеры в зуботехнической лаборатории. Прямая обрезка ClearCorrect делает каппы гладкими, она выступает на 1,5 mm ± 0,5 mm над десневым краем. Научно доказано, что благодаря высокой и плоской обрезке элайнеры ClearCorrect оптимизируют передачу усилия для более точного перемещения зубов и улучшенного контроля корней.
  4. Основной период. Количество капп и длительность лечения определяется индивидуально. Все зависит от клинической картины. Носить элайнеры нужно 20-22 часов в день, меняя на новую пару по графику. Снимать их можно только для приема пищи, гигиенических процедур.

Сколько длится лечение

Продолжительность коррекции прикуса элайнерами ClearCorrect варьируется в зависимости от сложности случая, но в среднем составляет от 6 до 18 месяцев. Врач-ортодонт сможет дать более точные прогнозы после первичной консультации.

Роль аттачментов в процессе лечения элайнерами ClearCorrect

Аттачменты — это небольшие элементы, которые прикрепляются к зубам и помогают элайнерам более эффективно перемещать зубы. Они обеспечивают дополнительное сцепление и помогают достичь более сложных движений зубов. Использование аттачментов значительно улучшает результаты лечения и ускорить процесс.

От чего зависит цена

Цена на лечение элайнерами ClearCorrect зависит от нескольких факторов:

  • сложность клинического случая и количества капп
  • необходимое количество элайнеров
  • дополнительные услуги (например, консультации, контрольные осмотры).

Почему стоит выбрать наши клиники

Наши стоматологические клиники предлагают полный спектр услуг по лечению с использованием элайнеров ClearCorrect. Мы являемся официальными партнерами компании. Гарантируем индивидуальный подход, высококвалифицированных специалистов и современное оборудование. Каждый пациент получает внимание и заботу на каждом этапе лечения.

Получить консультацию

Задайте вопросы по телефону +7 (495) 927-51-86
или оставьте заявку, мы перезвоним в течение рабочего дня.

Подтверждаю свое согласие на обработку персональных данных

Закрыть

Заявка отправлена

, спасибо за проявленный интерес. В течение 15 минут наш менеджер перезвонит вам.

Закрыть

Список литературы

  1. Пилипенко Н. Д., Пилипенко К. Д. Исправление прикуса элайнерами //Современная наука: актуальные проблемы теории и практики. Серия: Естественные и технические науки. – 2019. – №. 12. – С. 164-169.
  2. Башева Ю. В., Суворова М. Н., Рыжова С. А. Ортодонтическое лечение на элайнерах: современный взгляд //Тенденции развития науки и образования. – 2020. – №. 64-2. – С. 23-25.
  3. Визер Ю. Ю., Елали А. Х. Технологии 3D печати в медицине и стоматологии //Естественнонаучные основы медико-биологических знаний. – 2017. – С. 114-116.
  4. Изображение для главы «Особенности дизайна и материалов элайнеров ClearCorrect» взято с сайта https://www.straumann.com/clearcorrect/tr/tr/doktorlar/clearcorrect-aligners.html 

Вопросы и ответы

Где производятся элайнеры ClearCorrect?

В России, где компания имеет современные заводы и лаборатории, что обеспечивает высокое качество продукции.
Герасимова Яна Олеговна

стоматолог-терапевт, стоматолог‑ортодонт

Безопасно ли использование элайнеров ClearCorrect во время беременности или грудного вскармливания?

Да, однако лучше всего начинать лечение до беременности, однако если беременность наступила во время лечения, то прекращать его не нужно.
Герасимова Яна Олеговна

стоматолог-терапевт, стоматолог‑ортодонт

Задайте вопрос

Мы передадим ваш вопрос специалисту и дадим ответ по указанному способу связи, а также на этой странице

Почта
Телеграмм

Подтверждаю свое согласие на обработку персональных данных

Вопрос успешно отправлен

Обращаем внимание, что в связи с большим количеством вопросов и загруженностью врачей, время ответа увеличено.

Закрыть

Отзывы пациентов

Все отзывы
Долго мечтала выровнять зубы, но брекеты казались мне слишком заметными и неудобными. Элайнеры — это просто спасение! Процесс прошел практически незаметно для окружающих. Носила каппы по 22 часа в сутки, снимала только на время еды и чистки зубов. Поначалу немного чувствовала дискомфорт, особенно в первые дни после смены каппы, но это быстро проходило. Врач – прекрасный специалист, всегда подробно отвечала на все мои вопросы. Результат превзошел все ожидания! Теперь я могу улыбаться без стеснения, и это бесценно!

Елена, 05.05.2025

Отличный способ выровнять зубы! Я носил каппы всего год, и результат просто потрясающий. Поначалу немного сложно привыкать к ним, было ощущение, что во рту что-то лишнее, но через несколько дней я к этому привык. Чистка зубов стала немного дольше, но это мелочи по сравнению с результатом. Теперь мне нравится собственная улыбка! Спасибо докторам клиники!

Сергей, 30.04.2025

01/ 03

Статью проверил эксперт

Пастьян Андрей Альбертович

Квалифицированный специалист в области имплантации зубов, челюстно-лицевой хирургии.

Опыт работы - 27 лет

Оцените качество страницы:

1 голосов, 5.0 из 5

Что стоит улучшить на странице?

Мы постоянно улучшаем качество нашего сайта, и ваше мнение очень важно. Расскажите, что вы считаете нужно добавить или изменить.

Нажимая кнопку «Отправить», я даю согласие на обработку моих персональных данных в соответствии c Политикой конфиденциальности

Спасибо за отклик

В ближайшее время мы рассмотрим ваши пожелания и постараемся их реализовать.

Закрыть
Запись онлайн