Центр Стоматологической Имплантологии

Будни: 9:00—20:30, Сб: 9:00—20:00, Вс: 10:00—20:00


Неровные зубы: эстетический дефект или угроза здоровью?

Информация обновлена: 04.12.2025

Удаленная консультация

Для удаленной консультации и составления предварительного плана лечения (бюджет, сроки, кол-во посещений клиники), можно прислать свое рентгеновское исследование с описанием проблемы и пожеланиями на электронную почту

ces@impl.ru

Почему зубы растут криво?

Причины патологий прикуса закладываются еще в детстве, но часто проявляются в полной мере уже во взрослом возрасте.

  • Генетика: Размер челюсти и размер зубов передаются по наследству. Если челюсть узкая (от мамы), а зубы крупные (от папы), им просто не хватает места, и возникает скученность.
  • «Зубы мудрости» (Восьмерки): Это одна из самых частых причин рецидива у взрослых. Опираясь на наш клинический опыт, мы видим, что прорезывание восьмерок часто сдвигает даже идеально ровный зубной ряд к центру, вызывая скученность передних зубов.
  • Детские привычки и дыхание: Ротовое дыхание, длительное сосание пустышки или пальца деформируют челюсть.
  • Ранняя потеря зубов: Если молочный зуб удалили раньше времени, соседние зубы смещаются, занимая чужое место.
  • Аномалии развития (Сверхкомплектные зубы): Иногда природа закладывает «лишние» единицы (гипердонтия). Таким зубам не хватает законного места в челюсти, поэтому они начинают агрессивно давить на соседние зубы, заставляя их скручиваться, расти вторым рядом или смещаться с правильной траектории.
  • Последствия травм: Сильные ушибы, падения или переломы челюсти могут физически нарушить положение зубов. Механическое воздействие способно сместить корень или повредить зачаток зуба, из-за чего он начинает расти под неправильным углом.

Основные виды искривлений зубов

В ортодонтии существует множество классификаций, но для пациента важно различать основные визуальные дефекты:

  • Скученность: Самая частая проблема. Зубы наезжают друг на друга, поворачиваются вокруг своей оси из-за дефицита места.
  • Тремы и диастемы: Промежутки между зубами. Знаменитая «щербинка» между передними резцами — это диастема.
  • Дистопия: Зуб прорезался не на своем месте (например, клык растет выше зубного ряда, как у «вампира»).
  • Глубокий прикус: Верхние зубы слишком сильно перекрывают нижние, травмируя десну.

Чем опасны неровные зубы?

Согласно медицинским исследованиям, неправильное положение зубов приводит к цепочке патологий:

  • Кариес и болезни десен: Скученные зубы невозможно качественно вычистить щеткой и нитью. В труднодоступных местах скапливается налет, образуется зубной камень, что ведет к множественному кариесу и пародонтиту.
  • Патологическая стираемость: При неправильном смыкании нагрузка распределяется неравномерно. Некоторые зубы испытывают перегрузку и быстро стираются, теряя высоту.
  • Проблемы с ВНЧС: Дисбаланс окклюзии (смыкания) бьет по суставу. Появляются щелчки, хруст и головные боли.
  • Эстетика лица: Снижение высоты прикуса из-за стираемости ведет к углублению носогубных складок и появлению «старческого выражения лица» даже у молодых людей.

Сравнительная таблица методов коррекции улыбки

Чтобы вам было проще ориентироваться в вариантах лечения, мы составили наглядную таблицу. Однако помните: окончательное решение всегда принимает врач на основе диагностики.

 

Критерий сравнения Брекет-системы (Damon и др.) Элайнеры (Invisalign, ClearCorrect) Керамические виниры
Суть метода Лечение. Перемещение корней зубов и исправление прикуса. Лечение. Перемещение зубов с помощью давления пластика. Эстетика. Маскировка дефектов накладками.
Что исправляет Любые патологии: от сложной скученности до скелетных форм прикуса. Легкие и средние патологии, промежутки, небольшую скученность. Цвет, форму зуба, сколы, микроповороты (без исправления прикуса).
Сроки результата 1.5 – 2.5 года (зависит от сложности). 1 – 2 года (зависит от количества кап). 2 – 3 недели (время на изготовление).
Эстетика в процессе Заметны на зубах (даже керамические и сапфировые). Почти невидимы. Прозрачный материал. Результат виден сразу после установки.
Влияние на эмаль Зубы не обтачиваются. Риск кариеса только при плохой гигиене. Зубы не обтачиваются. Безопасно для эмали. Требуется обточка. Снимается небольшой слой эмали (0.3–0.7 мм).
Дисциплина Работают 24/7. Снять самостоятельно невозможно. Высокая. Нужно носить 22 часа в сутки, снимать только для еды. Не требуется участия пациента.
Цена Средняя / Высокая (зависит от материала брекетов). Высокая (сопоставима с премиальными брекетами). Высокая (стоимость рассчитывается за единицу).

Важный комментарий от наших врачей:
Часто идеальный план лечения — это комбинация методов. Сначала мы выравниваем зубной ряд и исправляем прикус брекетами или элайнерами (чтобы создать фундамент), и только потом доводим эстетику до совершенства с помощью виниров, если форма своих зубов вас не устраивает. Это гарантирует, что дорогие виниры не сколются через год из-за перегрузки.

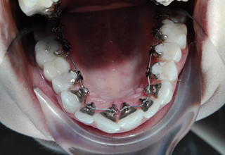
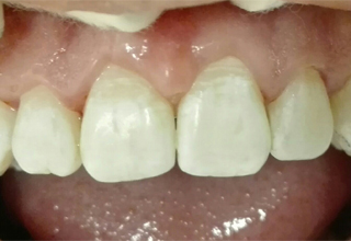
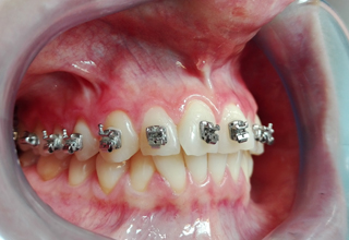
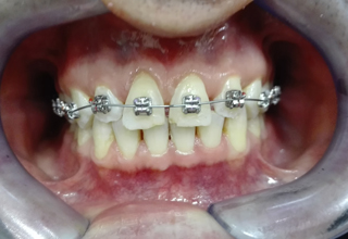
Примеры исправления прикуса нашими специалистами

Подробно про методы исправления

Брекет-системы

Классический и самый надежный метод. Мы используем самолигирующие брекеты (например, Damon), которые работают мягче и быстрее традиционных.

  • Плюсы: Справляются с самыми сложными патологиями.
  • Минусы: Заметны на зубах (хотя керамические варианты малозаметны), требуют тщательной гигиены.

 

Элайнеры

Набор индивидуальных прозрачных кап, которые пациент меняет каждые 2 недели.

  • Плюсы: Абсолютно невидимы, их можно снять перед едой и чисткой зубов.
  • Минусы: Требуют высокой самодисциплины (нужно носить 22 часа в сутки). Цена обычно выше, чем у брекетов.

 

Виниры

Часто пациенты просят поставить виниры, чтобы «спрятать» кривые зубы.

Важно понимать: Виниры — это эстетическая реставрация, а не лечение. Если зафиксировать виниры на кривые зубы, придется сточить много здоровой ткани, а сами конструкции будут скалываться из-за неправильной нагрузки. Мы рекомендуем сначала выровнять зубы, а затем приступать к эстетике.

Почему мы часто отправляем пациента к ортодонту перед имплантацией?

Если зуб был удален давно, соседние зубы начинают наклоняться в сторону дефекта. В итоге места для установки импланта и коронки просто не остается, или корни соседних зубов мешают установке титанового штифта.

 

Попытка «втиснуть» имплант в деформированный зубной ряд приводит к созданию неправильных контактов, застреванию пищи и, как следствие, к периимплантиту (воспалению вокруг импланта). Ортодонтическая подготовка создает идеальное ложе для имплантации, гарантируя ее долговечность.

Исправление зубов у взрослых: мифы и реальность

Миф: «Мне уже поздно ставить брекеты».

Реальность: Зубы можно перемещать в любом возрасте, пока здорова костная ткань и пародонт. У нас успешно проходят лечение пациенты 30, 40 и даже 50+ лет. У взрослых процессы регенерации кости идут чуть медленнее, чем у подростков, но результат столь же стабилен.

Этапы лечения в наших клиниках

  1. Диагностика: Фотопротокол, снятие слепков (или 3D-сканирование), КЛКТ (компьютерная томография), расчет ТРГ (снимка черепа).
  2. Санация: Лечение кариеса и профессиональная гигиена перед установкой системы.
  3. Фиксация: Установка брекетов или выдача сета элайнеров.
  4. Активация: Регулярные визиты к врачу (раз в 1–2 месяца) для коррекции дуг.
  5. Ретенционный период: После снятия брекетов на внутреннюю сторону зубов клеится тонкая проволочка (ретейнер), чтобы зубы не разъехались обратно.

Получить консультацию

Задайте вопросы по телефону +7 (495) 927-51-86
или оставьте заявку, мы перезвоним в течение рабочего дня.

Подтверждаю свое согласие на обработку персональных данных

Закрыть

Заявка отправлена

, спасибо за проявленный интерес. В течение 15 минут наш менеджер перезвонит вам.

Закрыть

Список литературы

  1. Proffit, W. R., Fields, H. W., & Sarver, D. M. Contemporary Orthodontics. (Современная ортодонтия — базовое руководство для врачей).
  2. Славичек Р. Жевательный орган. (Фундаментальный труд по гнатологии и окклюзии).
  3. Bernstein, R. L., et al. (2019). Outcome of clear aligner treatment regarding oral hygiene and gingival health. (Исследование гигиены при лечении на элайнерах).

Вопросы и ответы

Это больно?

Установка безболезненна. Дискомфорт и ноющая боль могут быть в первые 3–7 дней после фиксации или смены дуг. Это нормально и говорит о том, что процесс движения начался.
Герасимова Яна Олеговна

стоматолог-терапевт, стоматолог‑ортодонт

Нужно ли удалять зубы мудрости?

В 90% случаев — да. «Восьмерки» часто мешают перемещению зубов назад, создавая дефицит места.
Герасимова Яна Олеговна

стоматолог-терапевт, стоматолог‑ортодонт

Долго ли носить брекеты?

Средний срок лечения взрослых — 1,5–2 года. Сроки зависят от сложности случая и выбранной аппаратуры.
Герасимова Яна Олеговна

стоматолог-терапевт, стоматолог‑ортодонт

Задайте вопрос

Мы передадим ваш вопрос специалисту и дадим ответ по указанному способу связи, а также на этой странице

Почта
Телеграмм

Подтверждаю свое согласие на обработку персональных данных

Вопрос успешно отправлен

Обращаем внимание, что в связи с большим количеством вопросов и загруженностью врачей, время ответа увеличено.

Закрыть

Статью проверил эксперт

Пастьян Андрей Альбертович

Квалифицированный специалист в области имплантации зубов, челюстно-лицевой хирургии.

Опыт работы - 27 лет

Оцените качество страницы:

0 голосов, 0.0 из 5

Что стоит улучшить на странице?

Мы постоянно улучшаем качество нашего сайта, и ваше мнение очень важно. Расскажите, что вы считаете нужно добавить или изменить.

Нажимая кнопку «Отправить», я даю согласие на обработку моих персональных данных в соответствии c Политикой конфиденциальности

Спасибо за отклик

В ближайшее время мы рассмотрим ваши пожелания и постараемся их реализовать.

Закрыть
Запись онлайн